 
     
     +90 212 267 35 35
 
         
         
         
        Transsfinkterik fistül
Transsfinkterik fistül
Transsfinkterik fistül
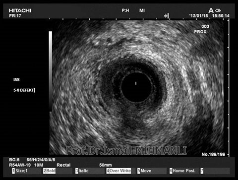
Fistüle makat kası hasarı eşlik ediyorsa endoanal US'de tespit edilir.
1 - 4
<
>
 
         
         
        İntersfinkterik fistül
İntersfinkterik abse
Atnalı fistül
3 - 3
<
>
 
        Ekstrasfinkterik fistül ve abse
1 - 1
<
>
 
        Suprasfinkterik fistül
1 - 1
<
>
 
         
         
         
        Crohn hastasında perianal enflamasyon içinde hava
Crohn hastasında perianal enflamasyon
Crohn hastasında perianal enflamasyon
Crohn hastasında perirektal reaktif lenfadenopati
1 - 4
<
>
 
     
     
    
    
   